ブラックトライアングルの治療法
【11/13-11/19】ルミネカード10%OFFキャンペーン

11/13-11/19の期間、ルミネカードによるお支払いで全ての審美治療が10%OFF!現在事前カウンセリング開催中です。
10%OFF価格で分割払いもOKです。柔軟なお支払い方法にも対応しております。
人気のセラミック治療・ラミネート治療・口ゴボ治療・ガミー治療・ホワイトニング・矯正治療・差し歯の再治療・インプラント治療も10%OFFに!
ルミネカードは即日発行できるので、お持ちでない方もご安心ください。
例)シンプルオールセラミック1本(税込・仮歯別)
・通常料金:¥110,000
・キャンペーン時:¥99,000
歯と歯の間に黒い三角形のすき間が生じる状態を「ブラックトライアングル」と呼びます。
当院では歯を削らないラミネートべニア治療やセラミック治療によるブラックトライアングル治療を行っております。

ブラックトライアングルとは

【下の前歯にブラックトライアングルがみられる状態】
ブラックトライアングルとは、歯と歯の接している部分(コンタクト部分)と歯茎の三角形の隙間のことを指します。影になることにより黒い三角形として見えることから、ブラックトライアングルと呼ばれます。
ブラックトライアングルは別名:ダークトライアングルと呼ばれることもあり、前歯にみられることが多いです。
歯と歯の間にすき間があることで審美的な影響を与えるだけでなく、食べ物が挟まりやすくなる・すき間から空気が抜けることで発音しづらくなるといったこともあります。

ブラックトライアングルの原因
ブラックトライアングルの原因としては加齢や歯周病、矯正治療、歯磨きによる圧力などが挙げられます。
原因①:加齢や歯周病
加齢や歯周病が原因の場合、歯を支えている骨の量が少なくなることにより歯茎が退縮してブラックトライアングルが生じます。
原因②:歯磨きなどによる過度な圧力
歯磨きによる圧力では、硬い歯ブラシや歯間ブラシを用いて歯肉に過度な圧力がかかると歯茎が退縮してしまうことによりブラックトイアングルが生じることがあります。
原因③:矯正治療後の影響
歯は逆三角形の形をしていることから矯正治療により歯並びが良くなることで、重なっていた歯並びが解消されて結果的にブラックトライアングルが目立つようになることがあります。

症例写真でみるブラックトライアングル治療
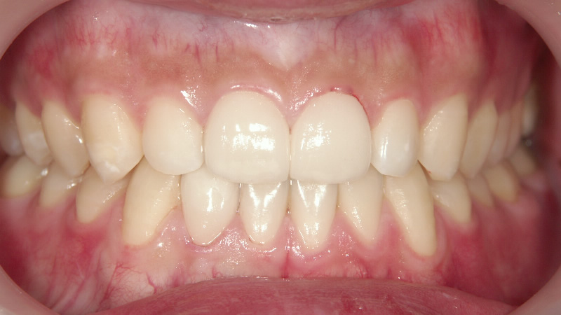
セラミック治療によるブラックトライアングル治療

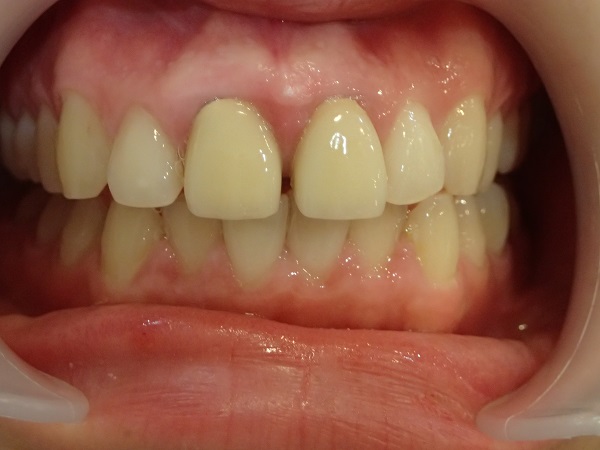
【ブラックトライアングル治療前】

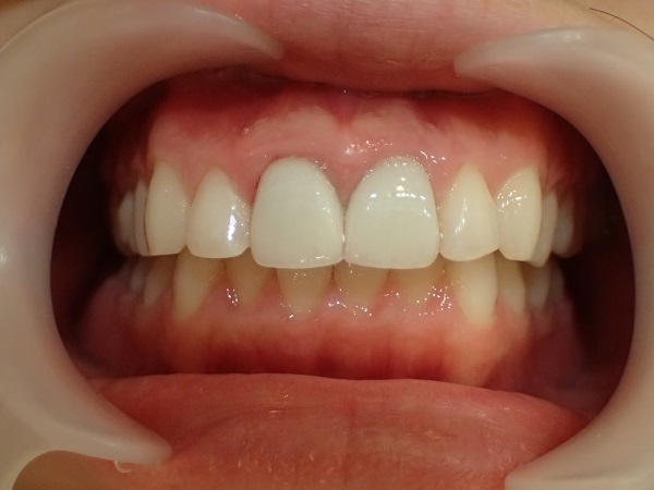
【ブラックトライアングル治療後】
上の前歯と下の前歯にセラミック治療をされた方の症例写真です。
もともと下の前歯に隙間があり、ブラックトライアングルが目立つことを気にされていらっしゃいました。セラミック治療により前歯の幅や形も調整することで、ブラックトライアングルを解消しました。全体としてバランスの良い美しいお口元に仕上がりました。
副作用(リスク):一時的に歯がしみたり、かみ合わせの違和感を感じることがあります。
自由診療。治療期間、費用、施術の流れ、仕上がりに関しては個人差があります。
シンプルデザインセラミック1本¥110,000(税込み)
セミデザインセラミック1本¥135,000(税込み)
支台歯調整料(コアなど)1本¥15,000(税込み)
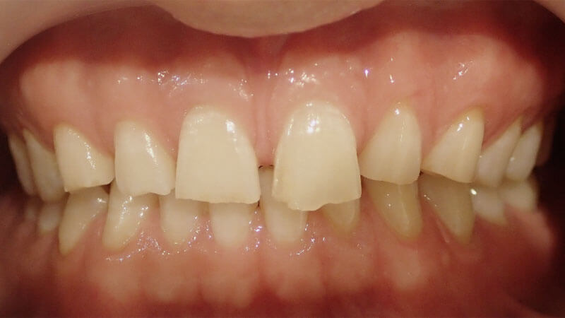
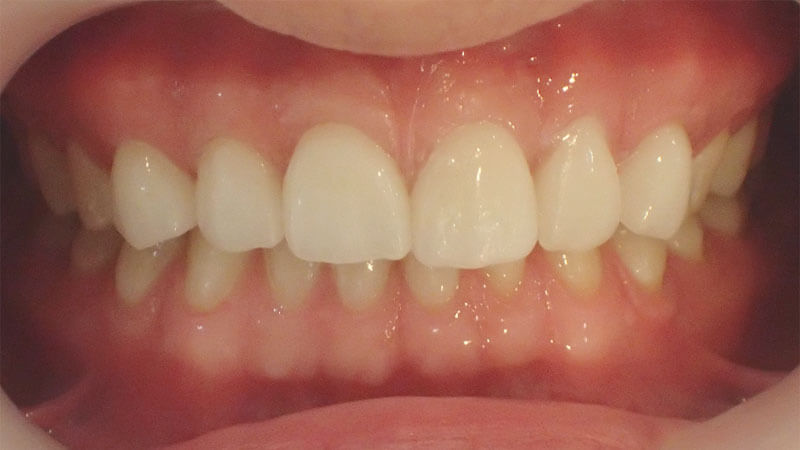
ラミネートべニア治療によるブラックトライアングル治療

【ブラックトライアングル治療前】

【ブラックトライアングル治療後】
上の前歯の間にすき間があり、歯を削ることに抵抗があるとのことでラミネートべニア治療をご希望いただきました。
ラミネート治療により歯の幅を整え、ブラックトライアングルやすきっ歯を改善しました。ナチュラルな美しい歯並びに仕上がりました。
自由診療。治療期間、費用、施術の流れ、仕上がりに関しては個人差があります。ラミネートべニア1本¥110,000。治療期間約2ヶ月。
副作用(リスク):一時的に歯がしみたり、かみ合わせの違和感を感じることがあります。

ブラックトライアングルに対する治療法

ブラックトライアングルの治療法にはラミネートベニア治療やセラミック治療、ダイレクトボンディングを用いて歯の形態を変えることで隙間を埋める方法などがあります。
また、歯肉にヒアルロン酸を注入する方法、歯を少し削った上で矯正治療を行い隙間を埋めるストリッピング法なども治療法として挙げられます。
ラミネートベニア治療

ラミネートベニア治療は、セラミック製のシェルを歯の表面に貼り付け歯の形態を整えることでブラックトライアングルの隙間を埋める治療法です。
シェルはセラミック製で透明感もあり、幅広い色味を揃えているため審美性に優れています。セラミックは吸水による変色や経年劣化の心配がほとんどなく、後戻りがないことも特徴です。
短期間に後戻りの心配なくブラックトライアングルを解消することができます。
削らないラミネートベニア治療

【ブラックトライアングル治療前】

【ブラックトライアングル治療後】

【ブラックトライアングル治療前】

【ブラックトライアングル治療後】
ご自身の歯はまったく削らずに、表面に貼り付ける「削らないラミネートベニア」という新しい治療法も取り入れています。
歯の表面にシェル状のセラミックを貼り付けることで、ブラックトライアングルを改善します。歯を削ることに抵抗のある方にもおススメの治療法です。
※歯を少し削るタイプのラミネートべニア治療または歯を削らないラミネートべニア治療が適応となるかは、現在のお口元の状態によっても異なります。詳しくは無料カウンセリングをご利用ください。
※1本95,000円。仮歯なし。自由診療。治療期間、費用、施術の流れ、仕上がりに関しては個人差があります。
副作用(リスク):一時的に歯がしみたり、かみ合わせの違和感を感じることがあります。
セラミック治療

【ブラックトライアングル治療前】

【ブラックトライアングル治療後】
セラミック治療は、ご自身の歯を削った上でセラミックの被せ物(セラミッククラウン)を被せることでブラックトライアングルの隙間を埋める方法です。
耐久性と審美性に優れており、ラミネートベニア治療と同様に吸水による変色などの経年劣化や後戻りの心配のない治療法です。
さらにセラミック治療の場合、ブラックトライアングルの改善と同時に歯並びや歯の形態やお色味を大きく変えることができるのも特徴です。ブラックトライアングルだけでなく、お口元全体を理想とされるご希望に合わせて改善できます。
治療内容:セラミック矯正2本+ホワイトニング副作用(リスク):一時的に歯がしみたり、かみ合わせの違和感を感じることがあります。
自由診療。治療期間、費用、施術の流れ、仕上がりに関しては個人差があります。
ダイレクトボンディング
ダイレクトボンディングとは、レジンと呼ばれるプラスチック材料を特殊な接着システムを使用した上で歯に詰めていくことによりブラックトライアングルの隙間を埋める治療法です。
型取りを行う必要がなく、部位や範囲にもよりますが詰める治療自体は1回で終わることが多いため手軽な治療法としても人気があります。
ただしレジンはセラミックと比較すると強度が低く、吸水性があるため変色などの経年劣化を起こしやすいという点が注意点です。
※当院ではダイレクトボンディングの取り扱いはございません
ヒアルロン酸注入
ブラックトライアングル部の歯肉にヒアルロン酸を注入することにより、ブラックトライアングルの隙間を埋める方法です。
ヒアルロン酸は経年的に体内に吸収されるため継続して複数回打たないと効果が持続しないこと、半年から一年程度しか効果が継続しないことが特徴です。
ストリッピング法
ストリッピング法とは、ブラックトライアングル部分の歯をわずかに削った上で歯と歯の間を寄せることでブラックトライアングルを改善する方法です。
噛み合わせの関係から上下で一緒に治療する必要があるため、気になっているのが上の歯だけだとしても下の歯も合わせてストリッピングを行う必要があります。歯に矯正力をかけて治療を行うため治療完了までに数ヶ月程度要します。

ブラックトライアングルの治療法まとめ
| ラミネートベニア | セラミッ治療 | ダイレクトボンディング | ヒアルロン酸注入 | ストリッピング | |
| 歯の形態改善 | 〇 | ◎ | 〇 | × | △ |
| 治療期間の短さ | ◎ | 〇 | ◎ | 〇 | △ |
| 後戻りのしにくさ | ◎ | ◎ | 〇 | × | △ |
| 手軽さ | ◎ | △ | ◎ | ◎ | △ |
私たちが治療を担当いたします

総院長 石井先生
25年以上の実績を誇る審美歯科治療。
セラミック治療や矯正治療を中心に、ミリ単位までこだわった美しい仕上がりで、多くの芸能人からも高い評価をいただいています。恵比寿本店およびルミネ有楽町店を担当。

石井李奈先生
女性ならではの繊細な視点を活かした審美歯科治療をご提供しています。
セラミック治療、ラミネートベニア、ガミースマイル治療、口元の突出(口ゴボ)治療など、おひとりおひとりのご希望に寄り添い、丁寧で患者様に寄り添った治療をご提案しております。
恵比寿本店・ルミネ新宿店を担当。

高度な技術でリーズナブルな治療を提供

お口元の美しさと健康は、患者様の生涯にわたる若々しさや健康、美しさに大きく関わります。当院では、高品質な治療を可能な限りお手頃な価格で提供し、長く美しく健康な口元を維持できるようサポートいたします。
高い技術を多くの患者様に提供できるよう努めています。