セラミック治療
【11/13-11/19】ルミネカード10%OFFキャンペーン

11/13-11/19の期間、ルミネカードによるお支払いで全ての審美治療が10%OFF!現在事前カウンセリング開催中です。
10%OFF価格で分割払いもOKです。柔軟なお支払い方法にも対応しております。
人気のセラミック治療・ラミネート治療・口ゴボ治療・ガミー治療・ホワイトニング・矯正治療・差し歯の再治療・インプラント治療も10%OFFに!
ルミネカードは即日発行できるので、お持ちでない方もご安心ください。
例)シンプルオールセラミック1本(税込・仮歯別)
・通常料金:¥110,000
・キャンペーン時:¥99,000

セラミック治療とは

セラミック治療はセラミックの色味や形態を周囲の天然歯に精密に合わせることで、自然で美しい仕上がりを実現できる治療法です
金属を一切使用しないため、金属アレルギーを発症したり身体に金属が蓄積する心配もありません。
セラミック治療は見た目の美しさに加えて機能性にも優れており、長期間にわたって快適にご使用いただけます。
ホワイトホワイトでは、審美性に加え強度と耐久性にも優れたジルコニアオールセラミックを採用しており、美しさと実用性の両立を追求した治療をご提供しています。


セラミック治療はこんな方におススメ
- 天然歯と変わらないナチュラルなお色味に仕上げたい方
- 形やお色を自然な仕上がりにされたい方
- 変色の心配のない治療をされたい方
- 長く自然な白さ・形をキープされたい方
- 変色した差し歯や黒ずんだ歯茎を改善されたい方
- 短期間に歯並び・歯の白さ・形を改善されたい方
- 金属を使用しない身体に優しい治療を受けたい方

セラミック治療のメリット
- 金属アレルギーの心配がなく身体に優しい
- ナチュラルなお色・形に仕上げることができる
- 変色の心配がなくメンテナンスを行うことで長くお使いいただける
- 短期間に歯並び・歯のお色・歯の形を同時に改善できる

セラミック治療のデメリット
- 自費診療のため費用がかかる
お悩み別症例をInstagramでチェック
25年以上に渡り審美治療専門だからこその圧倒的な症例数。お悩みに合わせた症例は、Instagram内ハイライトや各投稿からも詳しくご覧いただけます。

セラミックの美しさへのこだわり
セラミックを専門とする技工所と連携すること・セラミック治療を専門として25年以上行ってきた実績のもと、ミリ単位まで美しく機能的なセラミックをお作りしております。
“レイヤリング”と呼ばれる技法

セラミックのレイヤリングとは、セラミック(陶材)を何層にも重ねて築き上げていく技法のことです。
天然歯は単調な一色ではなく、例えば歯の根元から先端にかけてグラデーションがかかっていたりします。また、色彩も複雑で、いくつかの色を組み合わせないと再現できない色調のこともあります。
レイヤリンングという技術を用いることで、複雑な色彩を再現することができます。また、光の反射や透過性を計算して重ねることで、より透明感のある仕上がりにすることができます。
歯茎の0.1ミリ内側から立ち上げる技術

セラミックと歯の境を見えなくすることで、実際に歯茎から歯が生えているかのような仕上がりを再現できます。
ホワイトホワイトでは、歯茎の0.1ミリ内側からセラミックを立ち上げる技術を駆使してよりナチュラルな仕上がりにすることにこだわっています。
お顔のバランスに合わせてセラミックの歯並びを設定

横顔になった時に鼻と顎を結んだラインを「Eライン」といいます。
このEラインよりもお口元が内側に入っていると、横顔が美しく見えるといわれています。
また、前歯から犬歯にかけて歯の先端を結んだラインを「スマイルライン」と言います。
このスマイルラインがなだらかな曲線を描いていると、笑った時に歯のラインが下唇に沿って美しく見えると言われています。
当院では骨格や輪郭に合わせて、最もお顔が美しく見えるようセラミックをお作りしています。
最高品質のジルコニアオールセラミッククラウン

当院では、ジルコニアのフレームにセラミックを焼き付けた「ジルコニアセラミッククラウン」を採用しています。
セラミックは色の再現性に優れており自然な透明感があるため、周囲の歯と調和しやすく非常に高い審美性を実現できます。
一方で、セラミック単体では強度がやや劣るというデメリットがあります。そこで、強度に優れたジルコニアと組み合わせることで、耐久性と美しさの両方を兼ね備えた被せ物が完成します。
ジルコニアセラミッククラウンは、ジルコニアの強さとセラミックの美しさを融合させた、機能性・審美性ともに優れたクラウンです。
金属を一切使用しない身体に優しい素材のみを採用
被せ物や土台に金属を使うと、体内に金属が蓄積して金属アレルギーの原因になることがあります。また、金属の色が歯ぐきににじみ出て、黒く見える「ブラックマージン」ができることもあります。
さらに、金属が劣化すると歯との間にすき間ができ、虫歯の原因になることもあります。
一方、オールセラミックは劣化せず、虫歯のリスクも少ない安心な素材です。ホワイトホワイトでは、金属を一切使わない身体に優しいセラミック治療を行っています。

セラミック治療の種類
1. セラミック矯正(複数本治療)

【セラミック矯正前】

【セラミック矯正後】
セラミック矯正は、前歯の気になるところにセラミック治療を行うことで歯並びを改善する治療法です。
短期間に歯並び・歯の形・歯の色を改善することができます。口ゴボ・出っ歯・すきっ歯・ガミースマイルといった歯並びを改善し、見た目の美しさと機能性を両立します。
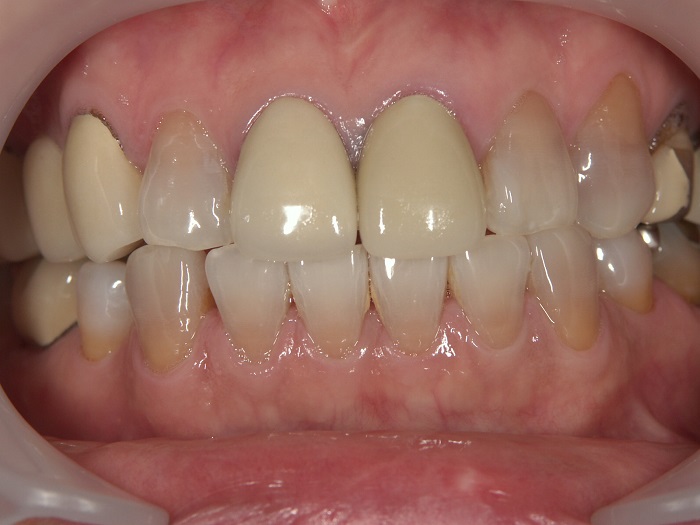
2.差し歯・銀歯の再治療

【セラミック治療前】

【セラミック治療後】
金属による差し歯や銀歯は、経年的に金属色が歯茎に溶け出して歯茎が黒ずむことがあります。
再治療により金属を除去してセラミックに交換することで、自然な色合いと健康的な歯ぐきを取り戻すことができます。
3. 12本以上のセラミック治療

【セラミック治療前】

【セラミック治療後】
上下12本以上のまとめた本数のセラミック治療では、歯の色・形・大きさまで患者様の理想に合わせて細かくデザインすることができます。
また、芸能人のような真っ白な歯や理想的な歯並びをご希望の方にもおすすめです。
4. ラミネートベニア治療

【ラミネートべニア治療前】

【ラミネートべニア治療後】
ラミネートべニア治療は、歯の表面をごく少量削る、もしくは全く削らずにセラミックを貼り付ける方法です。
ホワイトニング以上の白さにしたい方や、ちょっとした歯並びや歯のすき間を改善したい方にも適しています。治療期間も1か月ほどと短期間なので、歯を削らずに手軽に審美治療を受けてみたい方にもおすすめです。
5. セラミックインレー(詰め物)

【セラミック矯正前】

【セラミック矯正後】
金属を一切使用しないセラミックの詰め物は、見た目の自然さに加え、金属アレルギーのリスクも軽減します。金属アレルギーが心配な方にも最適です。

高度な技術でリーズナブルな治療を提供

お口元の美しさと健康は、患者様の生涯にわたる若々しさや健康、美しさに大きく関わります。当院では、高品質な治療を可能な限りお手頃な価格で提供し、長く美しく健康な口元を維持できるようサポートいたします。
高い技術を多くの患者様に提供できるよう努めています。

セラミック治療の流れ
無料カウンセリング

まずはお口の中の状態をしっかり確認し、セラミック治療へのご希望や気になる点を詳しくお伺いします。
その後、お見積りをお出しし、治療内容について具体的にご説明いたします。
型どり・写真撮影

治療が決まりましたら、正確な診断と治療計画のために、お口の型どりや写真撮影を行わせていただきます。
必要に応じて神経の治療
セラミック治療に際しては、状況に応じて歯の神経の処置が必要になる場合があります。その際は、治療に向けて適切な事前準備を行ってまいります。
お痛みに配慮して麻酔処置

痛みを感じやすい治療ステップでは、まず表面麻酔で感覚を和らげてから、注射による麻酔を行います。
しっかりと痛みを抑えた状態で進めますので、痛みに不安がある方も安心して治療を受けていただけます。
土台の構築と仮歯の装着
理想的なお口元を実現するために、まず歯の根元に土台を立て、その上に仮歯を装着します。この仮歯の状態で数日間お過ごしいただきます。
セラミッククラウンを装着する前に、仮歯の色味・角度・形や大きさなどをご確認いただくことで、より理想に近い仕上がりに調整することが可能です。
仮歯の調整

ご希望を丁寧に伺いながら、仮歯を細かく調整していきます。
仮歯の段階でシミュレーションと調整を行うことで、イメージ通りの仕上がりのセラミッククラウンに近づけられます。
セラミックをセットして完了

仮歯の段階でご確認いただいた内容をもとに、最終的なセラミックを作製します。
完成したセラミックを装着し、噛み合わせを丁寧に調整して治療完了となります。
私たちが治療を担当いたします

総院長 石井先生
25年以上の実績を誇る審美歯科治療。
セラミック治療や矯正治療を中心に、ミリ単位までこだわった美しい仕上がりで、多くの芸能人からも高い評価をいただいています。恵比寿本店およびルミネ有楽町店を担当。

石井李奈先生
女性ならではの繊細な視点を活かした審美歯科治療をご提供しています。
セラミック治療、ラミネートベニア、ガミースマイル治療、口元の突出(口ゴボ)治療など、おひとりおひとりのご希望に寄り添い、丁寧で患者様に寄り添った治療をご提案しております。
恵比寿本店・ルミネ新宿店を担当。

柔軟なお支払い方法に対応
RYOKIN
各種クレジットカードによる分割払いはもちろんのこと、患者さまのご希望に合わせた柔軟なお支払い方法に対応しております。ご希望のお支払い方法にできる限り寄り添いますので、お支払いについてもお気軽にご相談ください。
LUMINEカードでのお支払い
各店舗がLUMINEにもございますので、LUMINEカードでのお支払いが可能です。
年に数回のLUMINEバーゲンでよりお得に審美治療を受けていただけます。
デンタルローンに対応
webサイトから簡単にお申込みのできるオリコのデンタルローンに対応しております。
最大84回まで分割可能です。
各種QRコード決済が使えます

すべての審美歯科治療でpaypay・楽天ペイ・d払いなど、各種QRコード決済が行えます。

値上げをできる限りしない企業努力
昨今、人件費をはじめ、原材料費や技工物費、その他諸経費の高騰が続いておりますが、より多くの患者様に質の高い治療を安心して受けていただけるよう、企業努力を重ねております。
できる限り価格の維持に努め、安易な値上げは行わない方針です。今後とも変わらぬご理解とご支援を賜りますよう、よろしくお願い申し上げます。

セラミック治療について無料カウンセリング

ホワイトホワイトでは、美しさと機能性を兼ね備えたセラミック治療を行っております。
25年以上セラミック治療を専門として行い、ミリ単位までの美しさと長く健康的なお口元をキープできる治療をご案内しております。
セラミック治療についてまずは無料カウンセリングでご相談ください。
Copyright© whitewhite All Rights Reserved.