ブラックマージン(歯茎の黒ずみ)治療
3/12-3/18 ルミネカード10%OFF開催・事前相談スタート

3/12-3/18の期間、ルミネカードによるお支払いで全ての審美治療が10%OFF!現在、事前カウンセリング開催中です。
分割払いなど、柔軟なお支払い方法にも対応しております。
人気のセラミック治療・ラミネート治療・口ゴボ治療・ガミー治療・ホワイトニング・矯正治療・差し歯の再治療・インプラント治療も10%OFFに!
例)シンプルオールセラミック1本(税込・仮歯別)
・通常料金:¥110,000
・キャンペーン時:¥99,000
ルミネカードは即日発効可能です。お持ちでない方もご安心ください。

ブラックマージンとは
BLACK MARGIN

ブラックマージンとは、「被せ物と歯茎の境が黒く見える状態」のことをいいます。
被せ物の裏打ちの金属色が露出して見えたり、差し歯の土台から金属成分が溶け出して歯茎を着色することで、ブラックマージンの状態となります。
ブラックマージンにより、老けた印象になる・血色の悪い印象となることでお悩みになる方は少なくありません。

ブラックマージン(歯茎の黒ずみ)の原因
BLACK MARGIN CAUSE
ブラックマージン(歯茎の黒ずみ)原因1. 被せ物の金属の裏打ち

【金属が露出した状態のブラックマージン】
被せ物の裏打ちに金属を使用している場合、加齢や時間の経過によって歯茎が下がったり被せ物が劣化することで、徐々に金属部分が露出してしまうことがあります。
被せ物の裏打ちの金属が見えることで、結果的に歯茎が黒ずんでいるように見えてしまいます。
ブラックマージン(歯茎の黒ずみ)原因2. 溶け出した金属成分による変色
金属は時間と共に分解されて、唾液に溶け出します。歯の被せ物や土台に含まれる金属成分が歯茎に流出し、歯茎を黒く変色してしまうことがあります。
ブラックマージン(歯茎の黒ずみ)原因3. 原因1・2両方によるもの
金属の裏打ちの露出と歯茎の変色の両方によって、ブラックマージン(歯茎の黒ずみ)の状態となっていることが多くあります。


症例写真でみるブラックマージン(歯茎の黒ずみ)治療
BLACK MARGIN
セラミック治療でブラックマージン(歯茎の黒ずみ)を解消

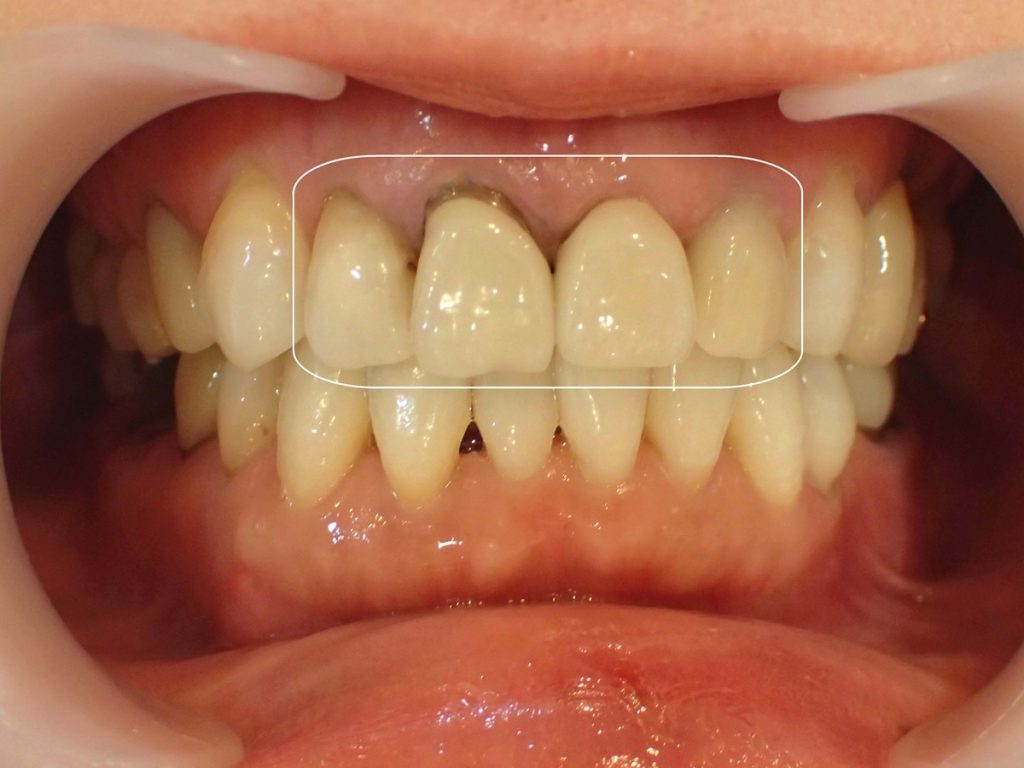
【ブラックマージン治療前】

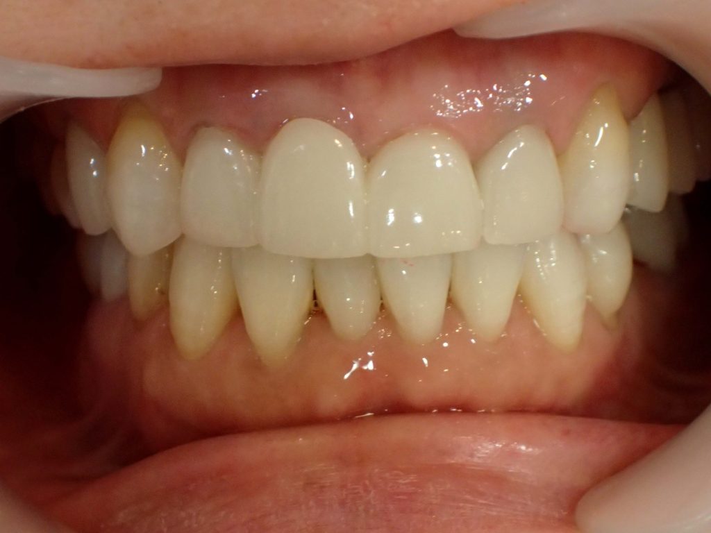
【ブラックマージン治療後】
治療期間:1カ月半
通院回数:4回
治療内容:セラミック矯正3本
前歯3本にセラミック治療を行った方の症例です。
まわりの天然歯と比べて差し歯が黄色く変色し、歯茎部分が黒くなっていました。
セラミック治療によりまわりの歯と比べても変わらない透明感と厚みの状態にし、ブラックマージン(歯茎の黒ずみ)も改善しました。
当院では土台部分も含めて金属を一切使用しないため、時間が経って歯茎が再び黒ずむ心配がありません。
副作用(リスク):一時的に歯がしみたり、かみ合わせの違和感を感じることがあります。
自由診療。治療期間、費用、施術の流れ、仕上がりに関しては個人差があります。
シンプルデザインセラミック1本¥110,000(税込み)。支台歯調整料(コアなど)1本¥15,000(税込み)。
古い差し歯をセラミックに交換

【ブラックマージン治療前】

【ブラックマージン治療後】
前歯3本が以前にされた差し歯治療により、内側の金属の土台が見えることで歯茎が黒ずんでいました。
セラミック治療により金属を一切使用しない白い土台と被せ物に交換しました。また、まわりの歯にホワイトニングを行うことでお口元全体の白さをトーンアップしました。
副作用(リスク):一時的に歯がしみたり、かみ合わせの違和感を感じることがあります
シンプルデザインセラミック1本¥110,000(税込み)
支台歯調整料(コアなど)1本¥15,000(税込み)
前歯の歯茎の黒ずみを改善

【ブラックマージン治療前】

【ブラックマージン治療後】
治療期間:1カ月半
通院回数:4回
前歯4本に入った差し歯が変色していること・歯茎が黒く見えることを気にされてご来院いただきました。
劣化や変色の心配がなく、金属を一切使用しないセラミック治療によって長く美しいお口元をキープしていただけます。また、前歯が美しいことで若々しい印象となりました。
副作用(リスク):一時的に歯がしみたり、かみ合わせの違和感を感じることがあります。
自由診療。治療期間、費用、施術の流れ、仕上がりに関しては個人差があります。
シンプルデザインセラミック1本¥110,000(税込み)。支台歯調整料(コアなど)1本¥15,000(税込み)。
変色した古い差し歯を短期改善

【ブラックマージン治療前】

【ブラックマージン治療後】
治療期間:1カ月半
通院回数:4回
上の差し歯の変色とブラックマージン(歯茎の黒ずみ)をセラミック治療4本により改善しました。
また、同時に下の歯や横の歯にホワイトニングを先に行い、ホワイトニング後の白さにセラミックのお色を合わせることでお口元全体が透明感のある白さに仕上がりました。
副作用(リスク):一時的に歯がしみたり、かみ合わせの違和感を感じることがあります。
自由診療。治療期間、費用、施術の流れ、仕上がりに関しては個人差があります。
シンプルデザインセラミック1本¥110,000(税込み)。支台歯調整料(コアなど)1本¥15,000(税込み)。
セラミック治療でブラックマージン(歯茎の黒ずみ)を解消

【ブラックマージン治療前】

【ブラックマージン治療後】
治療期間:1カ月半
通院回数:4回
治療内容:セラミック矯正3本
前歯の差し歯のマットなお色味・大きな被せ物になってしまっていること・ブラックマージン(歯茎の黒ずみ)を解消したいとのことで来院された患者さまの症例になります。
金属を取り除きメタルフリーのセラミックに入れ替えることで、金属の厚みや金属色のマットな印象を取り除くことができました。
また、金属を取り除くことで歯茎の金属色も解消しました。
副作用(リスク):一時的に歯がしみたり、かみ合わせの違和感を感じることがあります。
自由診療。治療期間、費用、施術の流れ、仕上がりに関しては個人差があります。
シンプルデザインセラミック1本¥110,000(税込み)。支台歯調整料(コアなど)1本¥15,000(税込み)。
前歯1本のブラックマージン(歯茎の黒ずみ)を改善

【ブラックマージン治療前】

【ブラックマージン治療後】
治療期間:1カ月半
通院回数:5回
治療内容:セラミック治療1本
前歯1本の差し歯が変色し歯茎が黒ずんでいることで見た目の違和感にお悩みだった方の症例です。
セラミック治療は本数が少ないほど、まわりの歯の透明感や形・お色味といった部分をより細かく調整しないと天然歯と比べて違和感が出やすくなり高い技術が必要です。
前歯1本のバランスをまわりの歯に合わせてしっかりと調整し、ほかの天然歯と変わらないナチュラルな見た目となりました。歯茎の黒ずみも改善され、若々しいお口元に仕上がりました。
副作用(リスク):一時的に歯がしみたり、かみ合わせの違和感を感じることがあります。
自由診療。治療期間、費用、施術の流れ、仕上がりに関しては個人差があります。
シンプルデザインセラミック1本¥110,000(税込み)。歯肉整形1本¥11,000(税込み)。支台歯調整料(コアなど)1本¥15,000(税込み)
お悩み別症例をInstagramでチェック
25年以上に渡り審美治療専門だからこその圧倒的な症例数。お悩みに合わせた症例は、Instagram内ハイライトや各投稿からも詳しくご覧いただけます。

ブラックマージン(歯茎の黒ずみ)によるお顔の印象
BLACK MARGIN
① ナチュラル感のないお口もとに
ブラックマージンにより歯茎が黒ずんでいることで、笑ったときやお話したときに差し歯に目がいきやすくなります。その結果、まわりの天然歯と差し歯のお色の違いなどが目立ちます。
また、保険の差し歯特有の厚みや変色が目立ち、全体として違和感のある印象のお口もとになってしまう場合も少なくありません。
② お顔が老けた印象に

ブラックマージン(歯茎の黒ずみ)や変色した差し歯は、老けた印象につながります。
特にお口もとは年齢の出やすいパーツなので「年齢よりも老けて見える」「お顔立ちは整っているのにどこか残念な印象」につながるケースも少なくありません。
ブラックマージン(歯茎の黒ずみ)はお口もとだけでなく、お顔全体を老けた印象にしてしまいます。
③ 不健康に見える
ブラックマージン(歯茎の黒ずみ)は虫歯になっているように見えたり、汚れが付着しているように見えることがあります。
また、血色の悪い歯茎の印象にもつながり、不健康なイメージにつながりやすいです。

セラミック治療によるブラックマージン(歯茎の黒ずみ)改善
TREATMENT
根本原因を除去

ブラックマージン(歯茎の黒ずみ)治療では、まずは根本原因である金属の土台を除去してメタルフリーの土台に入れ替える方法が用いられます。
セラミック治療によってメタルフリーの素材に交換することで、金属色が目立つ状態を解消できます。
また、歯茎が変色している場合も、金属やプラスチックを一切使用しない被せ物・土台に交換することで元の健康的な歯茎のお色に戻すことができます。
土台から全てメタルフリーのこだわり

【メタルフリーの土台】
ホワイトホワイトのブラックマージン(歯茎の黒ずみ)治療では、素材に金属やプラスチックを一切使用しておりません。
時間が経っても変色の心配がなく、長く健康的で美しい口もとをキープしていただけます。
また、金属アレルギーを引き起こす心配もありません。身体に優しく、安心・安全な治療にこだわっております。
セラミック治療+歯肉整形
歯茎は再生能力の高い組織のため、セラミック治療を行ってしばらくすると変色した歯茎が元の健康的なお色に回復していきます。
ただし、着色が広範囲だったり重度のブラックマージンの場合、歯茎の代謝だけではすべての黒ずみを取り除けない場合があります。その場合には、セラミック治療と歯肉整形を併用することで、歯茎の黒ずみを解消することができます。
黒ずんだ歯肉部分を切除することで、歯茎を本来の健康なお色に戻していきます。
私たちが治療を担当いたします

総院長 石井先生
25年以上の実績を誇る審美歯科治療。
セラミック治療や矯正治療を中心に、ミリ単位までこだわった美しい仕上がりで、多くの芸能人からも高い評価をいただいています。恵比寿本店およびルミネ有楽町店を担当。

石井李奈先生
女性ならではの繊細な視点を活かした審美歯科治療をご提供しています。
セラミック治療、ラミネートベニア、ガミースマイル治療、口元の突出(口ゴボ)治療など、おひとりおひとりのご希望に寄り添い、丁寧で患者様に寄り添った治療をご提案しております。
恵比寿本店・ルミネ新宿店を担当。

値上げをできる限りしない企業努力
昨今、人件費をはじめ、原材料費や技工物費、その他諸経費の高騰が続いておりますが、より多くの患者様に質の高い治療を安心して受けていただけるよう、企業努力を重ねております。
できる限り価格の維持に努め、安易な値上げは行わない方針です。今後とも変わらぬご理解とご支援を賜りますよう、よろしくお願い申し上げます。

無料オンラインカウンセリングスタートのお知らせ
FREE SOUDAN

Skype・zoomを利用した無料オンラインカウンセリングをスタートしました!
遠方でなかなかカウンセリングにお越しいただくことが難しい方・まずはご自宅からご相談されたい方におススメです。
また、操作にご不安のある方はLINEより操作説明をさせていただきますので、ご安心ください。
そのほかテレワークツールもご希望に応じて対応いたします。
お気軽にご相談ください。

ブラックマージン(歯茎の黒ずみ)治療へのこだわり
BLACK MARGIN
1.ファイバーコアを使用した破損しにくい土台

(左)金属を使用した土台と(右)ファイバーコアの土台比較
銀合金で作製した金属の土台の場合、強度が強すぎて歯や歯の根に大きな負担がかかってしまうことが少なくありません。
ホワイトホワイトでは、金属やプラスチックを一切使用しないファイバーコアと呼ばれる土台を使用しています。ファイバーコアは強度と耐久性に優れていて、天然歯に近い弾力性が特徴です。
歯の根の負担を軽減できるので破損しにくく、長く健康的で美しい口もとをキープしていただけます。
2.少ない本数のセラミックでも天然歯と調和した美しい仕上がり

1本~2本のセラミックをまわりの天然歯と調和させるには、高い治療技術が必要になります。
ホワイトホワイトでは、まわりの天然歯と見分けがつかない・ナチュラルな仕上がりにする治療技術に力を入れています。
セラミッククラウンの大きさやお色味・透明感をきめ細かくデザインし、全体として天然歯とセラミックが調和したお口もとにしていきます。
3.歯茎の0.5ミリ内側から立ち上げる技術

ホワイトホワイトでは、セラミックを歯茎の0.5ミリ内側から立ち上げています。
歯茎の内側からセラミックを立ち上げることで、時間が経っても歯茎とセラミックの境が目立つ心配がありません。
4.難症例にも対応いたします
被せ物の土台が歯の奥深くまで入っている場合、すべての金属を無理に取り除くと歯を痛めてしまうことがあります。
難しいケースの場合でも経験を積んだドクターが歯を痛めることない範囲で金属を取り除き、歯の負担をできる限り軽減しながらブラックマージンを改善していきます。
長年培ってきた経験と治療技術により、難症例の場合でも歯に負担の少ない方法を選択いたします。
「他院で、金属の土台を取り除くのはリスクがあると言われた」「土台を取り除くことで歯に負担がかからないか心配」という方もご相談ください。

動画でみるブラックマージン(歯茎の黒ずみ)治療
MOVIE

ブラックマージン(歯茎の黒ずみ)治療の流れ
TREATMENT FLOW
カウンセリング

まずはカウンセリングで歯や歯茎のお悩みについて、詳しくお伺いいたします。
治療についてご不明な点やご不安な点・ご希望などについてもお気軽にご相談ください。
型取り・資料採取

お口の状態を正確に把握するために、型取りとお口元のお写真撮影を行います。
採取した資料をもとに、具体的な治療方針をご提案いたします。
被せ物除去・仮歯へ

【仮歯を入れた状態】
古い土台や被せ物を外していきます。金属の土台を除去し、ブラックマージン(歯茎の黒ずみ)の根本原因を取り除きます。
その後、仮歯をお入れしてキレイなお口もとに整える準備をしていきます。
メタルフリーの白い土台を立てます
セラミック治療の準備段階として、土台の治療を進めていきます。
金属を一切使用しないファイバーコアと呼ばれる白い土台を立てていきます。
仮歯調整

土台を立てた後、セラミックの被せ物を作製する前段階として仮歯をお入れいたします。
仮歯の段階で歯の傾きや大きさ・形を患者さまにご確認いただき、きめ細かく調整していきます。
最終調整した仮歯をもとに、セラミックの被せ物を作製いたします。
セラミックをセットして完了

出来上がったセラミックをお付けして、セラミック治療の完了です。

柔軟なお支払い方法に対応
RYOKIN
各種クレジットカードによる分割払いはもちろんのこと、患者さまのご希望に合わせた柔軟なお支払い方法に対応しております。
院内無利息分割払い
無利息での現金やクレジットカードによる院内での分割払いが可能です。お支払いペースもご相談ください。
LUMINEカードでのお支払い
各店舗がLUMINEにもございますので、LUMINEカードをお持ちの方はLUMINEカードでのお支払いが可能です。
デンタルローンに対応
webサイトから簡単にお申込みのできるオリコのデンタルローンに対応しております。
各種QRコード決済が使えます

すべての審美歯科治療でpaypay・楽天ペイ・d払いなど、各種QRコード決済が行えます。

安心の保証制度
FREE SOUDAN

ホワイトホワイトでは、半年に一度噛み合わせのチェックにお越しいただくことを条件に3年~5年間の保証期間を設けております。
保証期間内に万が一セラミックが破損した場合には、無料で再治療をさせていただきます。
美しいお口もとをご一緒にキープしていきましょう。
※衝突・事故・転倒などによる破損は保証の対象外です
※保証期間はセラミッククラウンの種類によって異なります

お急ぎの方におススメの短期集中治療
BEAUTY TREATMENT
お急ぎの方や短期間に一気に治療を進めたい方・遠方からお越しの方向けに短期集中治療をご用意しております。
一度のご来院でできる限り多く治療を進める・短期間にご予約をお取りするなど柔軟に対応いたしますので、短期集中治療をご希望の方はお気軽にご相談ください。