ホワイトニング
【1/2-2/4】10%OFFエシカーニバル開催・事前相談スタート

1/2-2/4の期間、すべての審美治療が10%OFFとなるエシカーニバルが開催決定!
全てのお支払い方法が10%OFFの対象です。
現在、10%OFFキャンペーンに向けた事前相談を実施しております。
例)シンプルオールセラミック1本(税込・仮歯別)
・通常料金:¥110,000
・キャンペーン時:¥99,000
10%OFF価格で分割払いもOKです。柔軟なお支払い方法にも対応しております。
「歯を確実に白くしたい」「セルフホワイトニングに通ってみたけど効果がイマイチだった」そんな方に選ばれているのが、歯科医師によるオフィスホワイトニングです。
ホワイトホワイトビューティーでは、歯科クリニックでしか取り扱えない濃度の高いホワイトニングジェルを使用したオフィスホワイトニングをご提供しています。

ホワイトホワイトのホワイトニングはこんな方におススメ
RECOMMEND

当院のホワイトニングは、「歯を短期間にしっかり白くしたい」という方に選ばれています。
また、しみにくいホワイトニングジェルを使用しているので、知覚過敏が心配な方にもおススメです。
- セルフホワイトニングやホワイトニングバーに通ったけど効果がイマイチだった
- 白さをしっかり実感したい
- 短期間に歯を白くしたい
- 痛くないホワイトニングがしたい

美容好きに選ばれる当院のホワイトニング
BEAUTY WHITENING

当院のホワイトニングは、美容ライターの方や美容好きの方にも選ばれております。
その理由のひとつが、リップエステやホワイトニング専用のクリーニングといったオプションメニューやホワイトニング後のアフターケアの充実にあります。
「歯を白くしながらリップケアもしたい」「ホワイトニング後の白さをキープしたい」そんな方に支持されています。

動画でみるホワイトニング
WHITENING POINT

ホワイトニング症例

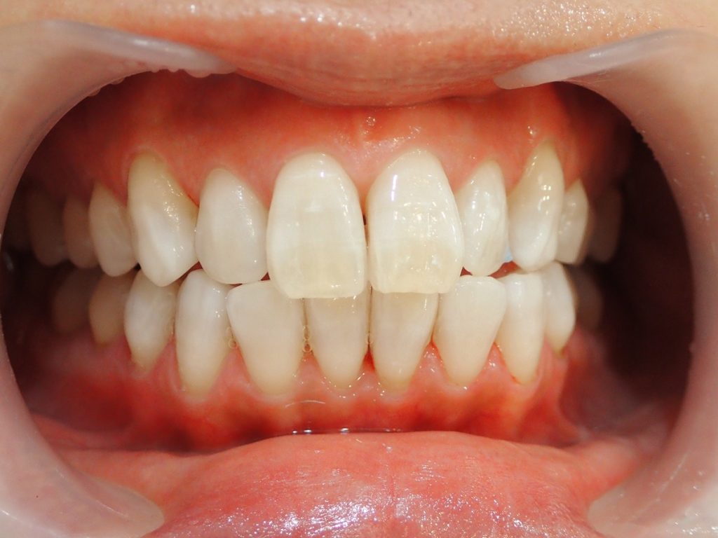
【ホワイトニング前】

【ホワイトニング後】
ご希望とされる白さに合わせて、3つのホワイトニングコースをご用意しております。
歯のお色を計測し、お色を表すシェードガイドという模型をみていただきながら患者様に最適なコースをご一緒にお選びいたします。
※自由診療。治療期間、費用、施術の流れ、仕上がりに関しては個人差があります。クイックホワイトニング12本¥22,000。治療期間1日。
副作用(リスク):一時的に歯がしみることがあります。

当院のホワイトニング5つの特徴
WHITENING FEATURE
1.歯科クリニック限定の高濃度ジェルによるホワイトニング

ホワイトホワイトビューティーでは、高いホワイトニング効果が期待できる35%と高濃度の過酸化水素を配合したホワイトニングジェルを使用しています。
過酸化水素を使用したホワイトニングは、専門知識のある歯科医師または歯科衛生士のみで使用が許可されていますので、セルフホワイトニングやエステでのホワイトニングでは得られない確かな白さを実感いただけます。
2.レーザー不使用だから短期集中OK&色ムラなし&歯に優しい

当院では、光照射の必要のないホワイトニングジェルを使用しています。
歯に熱を加えないので歯への負担が少なく、次のホワイトニングを受けるまでにダウンタイムが必要ないのが特徴です。
「短期間に集中してホワイトニングをしたい」といった方もご希望の期間内にしっかりと歯を白くすることが可能です。
また、光照射不使用の場合、歯の白さに色ムラができにくいのも特徴。
「短期間で歯を白くできる」「色ムラができにくい」「歯に優しい」そんなご希望を一度に叶える理想的なホワイトニングです。
3.痛くない・しみにくいホワイトニング

「ホワイトニング中に歯がしみた経験がある」「痛いのがとにかく苦手!」そんな方もご安心ください。
当院では、歯がしみる・痛みの原因である「歯のエナメル質の脱水症状」を予防するホワイトニングジェルを使用しています。
また、知覚過敏の症状が心配な方には、シミ止めのお薬をホワイトニングジェルと一緒に塗布しているので、「歯がしみるのがイヤ」という方はお気軽にお申し付けください。
歯科医師がホワイトニングだけでなくお口のサポートをしっかりいたしますので、必要に応じて痛み止めのお薬の処方等もさせていただきます。
4.ホワイトニング前後の白さを数値で測るから結果がみえる

ホワイトニング前の歯のお色とホワイトニング後の歯のお色を専用の測定器で測り、その数値を患者さまにチェックしていただいております。
ホワイトニング前後の数値も記録いたしますので、「一度のホワイトニングでどれくらい白くなったか」「ホワイトニングを数回行った後でどれくらい白くなったか」を患者さまご自身にしっかり知っていただくことができます。
ホワイトニングの効果に自信があるからこそ、「歯が白くなったことを数値で患者さまに実感いただきたい」と考えております。
5.ホワイトニングジェルの鮮度へのこだわり

当院ではホワイトニングジェルの”鮮度”にもこだわっています。
ホワイトニングジェルの薬剤を、歯に塗布する直前まで混合しないので、ホワイトニング剤を常に新鮮な状態に保つようにしています。
こうすることにより薬剤の劣化が原因でホワイトニングの効果が落ちる心配がないので、患者さまに最大限のホワイトニング効果を実感いただけます。

歯科医師監修の安全・安心なホワイトニング
WHITENING FEATURE
ホワイトホワイトビューティーでは、安全かつ安心なホワイトニングをご提供するために歯科医師・歯科衛生士が常駐しております。
お口全体を白く美しく仕上げるサポートを徹底
ホワイトニングでは差し歯や被せ物を白くすることはできません。
「被せ物の変色を一緒に白くしたい」「歯ぐきの黒ずみもキレイに治したい」という方向けにセラミック治療のご案内や、そのほか歯科治療についても必要に応じてアドバイスさせていただきます。
ホワイトニングによる歯の白さだけでなく、お口本来の健康と美しさのためのサポートもさせていただきますので、お気軽にご相談ください。

歯を内側から白くするホームホワイトニング
より透明感のある白い歯を目指すためには、オフィスホワイトニングとホームホワイトニングを併用することがおすすめです。
ホームホワイトニングには、歯の内側から白くする効果があります。
また、オフィスホワイトニングによって歯を白くした後でホームホワイトニングを行うことで、歯の白さが定着しホワイトニング後の白さをより長く持続させることができます。
ホームホワイトニングの宅配サービスも行っておりますので、お気軽にご相談ください。(配送料は当クリニックが負担します)
ホームホワイトニングトレー片顎セット+ジェル2本 | 16,500円(税込み) |
| ホームホワイトニングトレー上下顎セット+ジェル4本 | 30,800円(税込み) |

ホワイトニング後の白さをキープするフォローアップ
ホワイトニングコースを修了した方限定で、白さをキープしていただくためのフォローアップ・ホワイトニングメニューをご用意しています。
通常のホワイトニングの半額ほどで受けていただけるお得なメニューです。3カ月~半年に一度、コース終了後に受けていただくことが効果的です。

おすすめのオプション組み合わせ例
OPTION

ホワイトニング初診者の方
「ホワイトニングが初めて」「ホワイトニングの効果をまずは試してみたい」そんな方には歯12本(上顎6本+下顎6本)にホワイトニングを行うクイックホワイトニングがおススメです。
お値段もお手頃なので、ホワイトニングの効果を知っていただくために最適です。

ホワイトニングと唇ケアも一緒にしたい方
歯の白さと一緒に唇のケアをされたい方には、リップエステがおすすめ。
リップエステ単品の場合8,580円(税込み)で行っておりますが、お好きなホワイトニングとセットにされる方には3,850円(税込み)でリップエステを受けていただけます。
リップエステでは、唇の表面の汚れを唇専用のクレンジングを使用して落とし、ヒアルロン酸やプラセンタエキスを配合した美容液を専用の機械を使用して唇に浸透させます。
「唇の乾燥が気になる」「唇のハリを取り戻したい」「プルっと潤った唇を手に入れたい」という方が、ヒアルロン注射やボトックス注射よりも手軽に唇美容を受けていただけます。

白いYシャツやシンプルな服装をすることが多い男性は、歯の黄ばみがつい目立ちやすいことからホワイトニングを受けられる方が増えています。
また、ホワイトニングをした白い歯は清潔な印象を与えるので、ビジネスマンにも最適です。

ホワイトニング治療3ステップ
WHITENING STEP
1.カウンセリング

まずはカウンセリングで患者さまの歯の白さへのご希望や治療期間などについて詳しく伺います。
また、カウンセリング当日にホワイトニングを受けていただくことも可能ですので、その旨をご予約時にお知らせください。
2.お口の中のチェック

ホワイトニングの前に、お口の中のご状態を詳しくチェックします。
お口の中をチェックすることで、ホワイトニングの効果を最大限に引き出すことができます。また、お口の健康維持にもつながります。
3.ホワイトニング

いよいよホワイトニングスタートです。
ホワイトニングの効果が出やすいように、丁寧にホワイトニングジェルを塗布していきます。また、ホワイトニング中やホワイトニング後に歯がしみないように必要に応じてしみ止めを一緒に塗布します。
ホワイトニングジェルを塗布して一定時間置いた後でホワイトニングが完了です。
※ホワイトニング後はコーヒーや紅茶といった色の濃い食べ物・飲み物はお控えください。