削らないラミネートべニア治療
【1/2-2/4】10%OFFエシカーニバル開催・事前相談スタート

1/2-2/4の期間、すべての審美治療が10%OFFとなるエシカーニバルが開催決定!
全てのお支払い方法が10%OFFの対象です。
現在、10%OFFキャンペーンに向けた事前相談を実施しております。
例)シンプルオールセラミック1本(税込・仮歯別)
・通常料金:¥110,000
・キャンペーン時:¥99,000
10%OFF価格で分割払いもOKです。柔軟なお支払い方法にも対応しております。

削らないラミネートべニア治療とは
通常のラミネートベニア治療は歯の表面をわずかに削り、セラミック製シェル(薄片)を貼り付けます。
一方、削らないラミネートべニアではまったく歯を削らずに歯の色味や形態を整えることができます。
「ルミネアーズ」「スーパーエナメル」とも呼ばれ、テトラサイクリン歯の治療やガミースマイルの治療法としても人気があります。

削らないラミネートべニア治療のメリット

メリット1.歯を削らないで治療できる
削らないラミネートベニア治療では歯を削らず、神経も残して治療ができます。
より患者様の負担を減らすことができ、審美治療を受けたいけれど歯を削ることに抵抗があるといった方にも人気です。
メリット2.ご希望に合わせて白さを選べる
ラミネートべニアのシェルのお色味は、ナチュラルな白さから真っ白なお色味までご希望によってお選びいただけます。
また、ホワイトニングでは改善が難しい、中度以上のテトラサイクリン歯の治療法としてもおすすめです。
メリット3.色や形態にこだわることができる
当院では強度が高く、透明感あり審美性に優れたラミネートベニアを採用しています。そのため色や形態も細かなところまでこだわることができ、より精密にご希望に合わせたお口元に近づけることができます。
また、軽度のすきっ歯であれば削らないラミネートベニアで改善することができます。

症例写真でみる削らないラミネートべニア治療
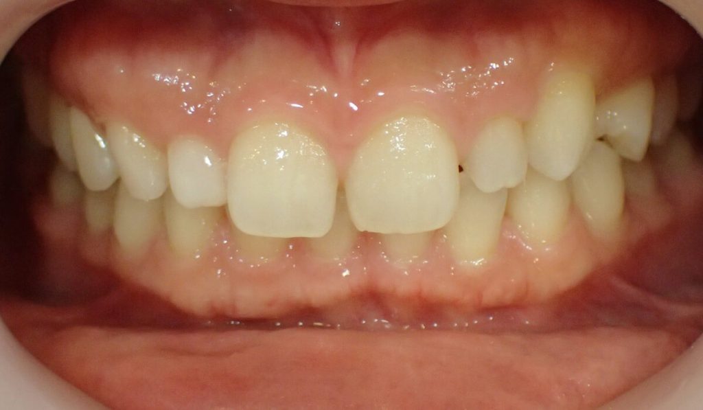
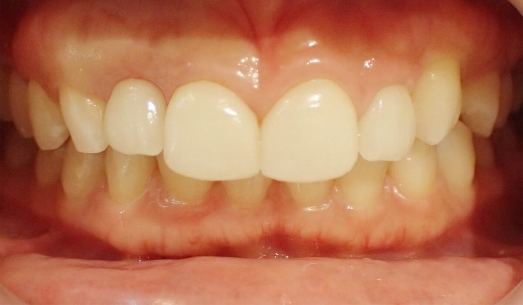
症例①:テトラサイクリン歯を短期改善

【削らないラミネート治療前】

【削らないラミネート治療後】

【削らないラミネート治療前】

【削らないラミネート治療後】

【削らないラミネート治療前】

【削らないラミネート治療後】
※1本95,000円。仮歯なし。自由診療。治療期間、費用、施術の流れ、仕上がりに関しては個人差があります。
副作用(リスク):一時的に歯がしみたり、かみ合わせの違和感を感じることがあります。
もともと歯が茶色がかっているテトラサイクリン歯を、削らないラミネートべニア治療で改善された方の症例です。
前歯6本に削らないラミネート治療を行い、ナチュラルな白さに仕上げました。
セラミックによるラミネート治療の場合、お色の変色の心配もないのでホワイトニングですぐに後戻りしてしまう方や白さをキープしたい方にもおススメです。
症例②:前歯のラミネート治療によりすきっ歯を改善

【削らないラミネート治療前】

【削らないラミネート治療後】

【削らないラミネート治療前】

【削らないラミネート治療後】
※1本95,000円。仮歯なし。自由診療。治療期間、費用、施術の流れ、仕上がりに関しては個人差があります。
副作用(リスク):一時的に歯がしみたり、かみ合わせの違和感を感じることがあります。
もともと歯が小さく、歯と歯の間にすき間が開いていました。
削らないラミネートべニア治療により歯の幅や大きさを改善し、歯並びも整いました。また、歯の白さも元よりも明るく設定しました。
すきっ歯が解消されたと同時に、全体の白さも明るくなりお顔の印象が大きく変わりました。
症例③:歯並び・歯の大きさ・形を短期改善

【削らないラミネート治療前】

【削らないラミネート治療後】
※1本95,000円。仮歯なし。自由診療。治療期間、費用、施術の流れ、仕上がりに関しては個人差があります。
副作用(リスク):一時的に歯がしみたり、かみ合わせの違和感を感じることがあります。
上の前歯のすき間と、2番目の歯がまわりの歯に比べて小さいことでラミネートべニア治療を選択されました。
ラミネート治療により前歯二本の幅を改善し、二番目の歯をまわりの歯の大きさに合わせて大きくしました。
全体としてバランスが良く美しい口元に仕上がりました。
症例④:上の前歯を前に出し受け口を改善

【削らないラミネート治療前】

【削らないラミネート治療後】

【削らないラミネート治療前】

【削らないラミネート治療後】
※1本95,000円。仮歯なし。自由診療。治療期間、費用、施術の流れ、仕上がりに関しては個人差があります。
副作用(リスク):一時的に歯がしみたり、かみ合わせの違和感を感じることがあります。
上の前歯6本に削らないラミネートべニア治療を行うことで、歯の大きさやバランスを整えた方の症例写真です。
また、もともと受け口気味だった状態を、上の前歯にラミネートべニア治療を行うことで、軽減することができました、
お色も元よりも2トーンほど明るい色味を選ぶことで、笑った時のお口元の印象が明るくなりました。
お悩み別症例をInstagramでチェック
25年以上に渡り審美治療専門だからこその圧倒的な症例数。お悩みに合わせた症例は、Instagram内ハイライトや各投稿からも詳しくご覧いただけます。

削らないラミネートべニアの適応症
- ガミースマイルを改善したい
- テトラサイクリン歯などの変色歯を改善したい
- 少しの歯の隙間(すきっ歯)を改善したい
- 通常より小さなサイズの歯(矮小歯)を改善したい
- 変色した詰め物などがある歯の表面をきれいにしたい
- 歯をまったく削らず治療したい
- まずは手軽にセラミック治療を行いたい

削らないラミネートべニアの非適応症
- 出っ歯や口ゴボなどの歯並びを内側に入れる必要のある症例
- 歯並びにがたつきのある症例
- ラミネートべニアが外れてしまいやすい咬み合わせのケース

歯肉整形+削らないラミネートべニアでガミースマイル治療

削らないラミネートべニアによるガミースマイル治療では、後戻りの心配がないことも特徴です。
歯茎を理想的なラインにカットする歯肉整形と削らないラミネートべニア治療を併用することで、ガミースマイルを改善します。
ラミネートべニアがストッパーの役割をするため、歯茎が下がってくる後戻りの心配がありません。歯は削らずにガミースマイルを改善することができ、いま注目されている治療のひとつです。
私たちが治療を担当いたします

総院長 石井先生
25年以上の実績を誇る審美歯科治療。
セラミック治療や矯正治療を中心に、ミリ単位までこだわった美しい仕上がりで、多くの芸能人からも高い評価をいただいています。恵比寿本店およびルミネ有楽町店を担当。

石井李奈先生
女性ならではの繊細な視点を活かした審美歯科治療をご提供しています。
セラミック治療、ラミネートベニア、ガミースマイル治療、口元の突出(口ゴボ)治療など、おひとりおひとりのご希望に寄り添い、丁寧で患者様に寄り添った治療をご提案しております。
恵比寿本店・ルミネ新宿店を担当。

値上げをできる限りしない企業努力
昨今、人件費をはじめ、原材料費や技工物費、その他諸経費の高騰が続いておりますが、より多くの患者様に質の高い治療を安心して受けていただけるよう、企業努力を重ねております。
できる限り価格の維持に努め、安易な値上げは行わない方針です。今後とも変わらぬご理解とご支援を賜りますよう、よろしくお願い申し上げます。

削らないラミネートべニア治療の流れ
カウンセリングと検査

カウンセリングでお悩みをお聞きし、適した治療法について詳しくご相談させていただきます。 その後、治療を行うことが決定しましたらお口元の検査を行います。
型取り
型取りを行います。この際、ご自身の歯はまったく削りません。
ラミネートべニアをセット

出来上がってきたシェルをご確認いただいた上でおつけしていきます。
当院では接着剤にもこだわっており、色味も種類豊富に揃えています。もっとも美しく仕上がる色を見つけるためにトライインという試し付けを行って接着剤を決めます。
安心の保証とメンテナンス
当院では、半年に1回のセラミックチェックにお越しいただくことで3年保証をお約束しています(e-max素材の場合は1年保証)。

ラミネートべニア治療の料金
当院では削らないラミネートべニアの素材としてオールセラミック素材とe-max素材の2種類をご用意しています。
| 削らないラミネートべニア(オールセラミック素材) | ¥95,000 |
| 削らないラミネートべニア(e-max素材) | ¥60,000 |

無料オンラインカウンセリングスタートのお知らせ
FREE SOUDAN

zoomを利用した無料オンラインカウンセリングをスタートしました!
遠方でなかなかカウンセリングにお越しいただくことが難しい方・まずはご自宅からご相談されたい方におススメです。
また、操作にご不安のある方はLINEより操作説明をさせていただきますので、ご安心ください。
そのほかテレワークツールもご希望に応じて対応いたします。
お気軽にご相談ください。