Eラインのチェック方法
【3/12-3/18】 ルミネカード10%OFF開催

3/12-3/18の期間、ルミネカードによるお支払いで全ての審美治療が10%OFF!現在、事前カウンセリング開催中です。
分割払いなど、柔軟なお支払い方法にも対応しております。
人気のセラミック治療・ラミネート治療・口ゴボ治療・ガミー治療・ホワイトニング・矯正治療・差し歯の再治療・インプラント治療も10%OFFに!
例)シンプルオールセラミック1本(税込・仮歯別)
・通常料金:¥110,000
・キャンペーン時:¥99,000
ルミネカードは即日発効可能です。お持ちでない方もご安心ください。
ここではご自身でEラインをチェックする方法や、日本人に多い横顔のタイプについてみていきましょう。

横顔美人の条件となるEライン
E LINE

【理想的なEライン】
Eラインとは、顔を横から見た時に鼻先と顎先を結んだラインのことをいいます。正式には「エステティックライン」と呼ばれ、横顔美人の指標のひとつとされています。
Eラインよりも上下の唇がやや内側に入っているのが、理想的な横顔の状態です。Eラインは口元の美しさを判断する材料のひとつであり、歯並びや口もとの治療を行う際にも重要となります。

Eラインをセルフチェックする方法
E LINE
理想的なEラインであるかどうかは、ご自身でも簡単にチェックすることができます。
人差し指を鼻先と顎先に当ててみてください。唇が指に当たらないか、そっと触れる程度でしたら整ったEラインと言えるでしょう。
唇が指にしっかりと当たる場合は、理想的なEラインから外れている可能性があります。


よくあるEラインの状態
E LINE
日本人は、欧米人と比較すると美しいEラインの持ち主が少ないと言われています。
その理由としては
- 鼻が低い
- 骨格的に顎がシャープではない・発達していない
- 上の前歯が出っ歯や口ゴボであることが多い
などが挙げられます。
基本的に日本人は、欧米人と比べて彫りの浅い凹凸の少ない顔であることが多く、完全なEラインの持ち主は少ないと言えます。
日本人に多いEラインのケースをみていきましょう。
Eラインよりも口もとが出ている

上顎または上顎と下顎が前に出ている状態では、口もとがEラインより前にはみ出します。いわゆる口ゴボや出っ歯の状態です。
前歯や歯茎・顎自体が前に出ていることで、Eラインよりも口もとが前に出てしまうケースは日本人に非常に多いと言えます。
Eラインよりも下顎が出ている

下顎が前に出ている下顎前突といわれる状態では、Eラインよりも下顎や下唇が前に出てしまうことが多いです。
いわゆる受け口のような状態のことを指します。
下顎が小さく口もとがEラインよりも出ている

アデノイド顔貌といわれる下顎が小さく後退している・口もとが突出している状態では、Eラインよりも口もとが前に出てしまうことが多いです。
また、下顎が後退していることで、Eラインよりも口もとが前に突出していることがさらに目立ちやすくなってしまうケースもあります。
お悩み別症例をInstagramでチェック
25年以上に渡り審美治療専門だからこその圧倒的な症例数。お悩みに合わせた症例は、Instagram内ハイライトや各投稿からも詳しくご覧いただけます。

日本人ではEラインに口もとが接するくらいが自然な仕上がり
E LINE
横顔の美しさの指標となるEラインですが、必ずしもEラインよりも口もとが内側に入っていないといけないわけではありません。
そもそも日本人は欧米人に比べて鼻が低く、下顎も後方にあることが多いです。
鼻が高く下あごの先端が前に出ていることが多い欧米人のようなEラインを築こうとすると、かえって不自然なお顔の印象になってしまうことがあります。
骨格は持って生まれたものであり、唇がややEラインに接するくらいの方が自然な印象の横顔に仕上がることも多いです。

歯並びの改善によるEライン治療
前歯が前に突出している口ゴボ(出っ歯)や、上下の歯が前に出ている上下顎前突などが原因でEラインよりもお口元が前に出ている場合、矯正治療によって歯を内側に入れることで理想的なEラインに近づけることができます。
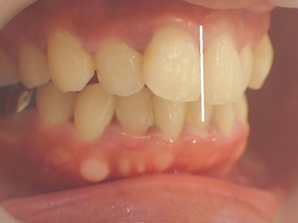
歯並び治療で理想的なEラインに近づけた症例

【セラミック矯正前】

【セラミック矯正後】
前歯が前に出ていることで、理想的なEラインよりもお口元が出ていた方の症例です。
前歯をセラミック矯正により内側に入れることで、理想的なEラインに近づけました。
歯並びの改善によるEライン治療は、美容整形をすることに抵抗のある方やナチュラルなEラインに仕上げられたい方にもおススメです。
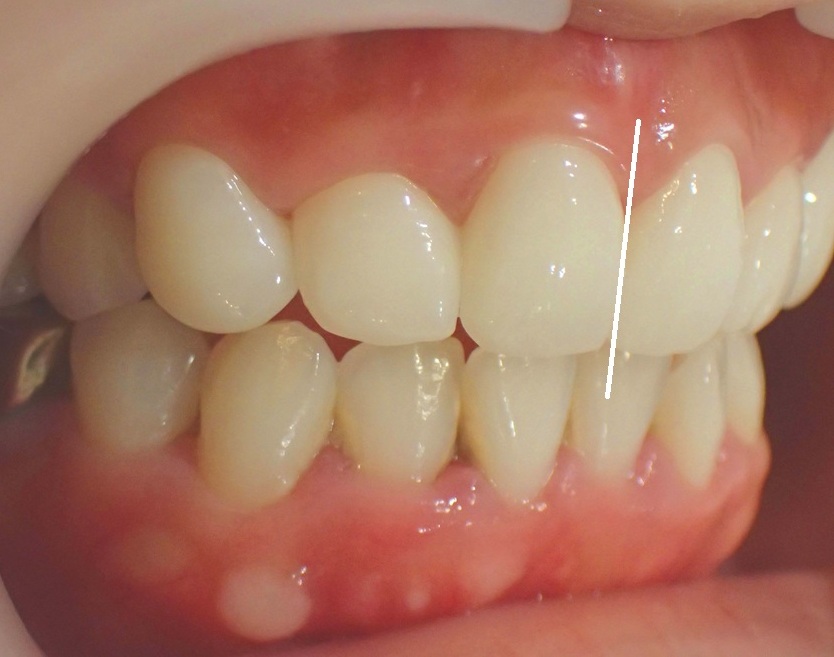
前歯を内側に入れることでEライン改善

【セラミック矯正前】

【セラミック矯正後】
前歯が外側に出ていることで、お口を閉じた際にEラインよりもお口が前に出ていることがお悩みだった方です。
セラミック矯正により前歯2本を内側に入れることで、Eラインを理想的に近づけました。
口ゴボをセラミック矯正により改善

【口ゴボ治療前】

【口ゴボ治療後】
前歯が前に出ているいわゆる口ゴボの状態が原因で、Eラインよりもお口元が前に出ていた方の症例です。
セラミック矯正により前歯を内側に入れることで、口ゴボを改善しました。セラミック矯正後はお口元が内側に入り、理想的なEラインに近づけることができました。

高度な技術でリーズナブルな治療を提供

お口元の美しさと健康は、患者様の生涯にわたる若々しさや健康、美しさに大きく関わります。当院では、高品質な治療を可能な限りお手頃な価格で提供し、長く美しく健康な口元を維持できるようサポートいたします。
高い技術を多くの患者様に提供できるよう努めています。

値上げをできる限りしない企業努力
昨今、人件費をはじめ、原材料費や技工物費、その他諸経費の高騰が続いておりますが、より多くの患者様に質の高い治療を安心して受けていただけるよう、企業努力を重ねております。
できる限り価格の維持に努め、安易な値上げは行わない方針です。今後とも変わらぬご理解とご支援を賜りますよう、よろしくお願い申し上げます。

監修歯科医師

ホワイトホワイト総院長・石井先生
経歴
- 昭和63年3月:日本歯科大学卒業
- 昭和63年7月:都内歯科医院勤務
- 平成7年4月~:石井歯科クリニック開院
- 平成10年2月:医療法人社団マリア会設立恵比寿本店開院(東京都渋谷区)。理事長兼総院長就任
- 平成14年1月:ルミネ新宿店 開院(東京都新宿区)
- 平成23年4月:ルミネ有楽町店 開院(東京都千代田区)

E LINE