叢生(乱杭歯)のセラミック矯正
【11/13-11/19】ルミネカード10%OFFキャンペーン

11/13-11/19の期間、ルミネカードによるお支払いで全ての審美治療が10%OFF!現在事前カウンセリング開催中です。
10%OFF価格で分割払いもOKです。柔軟なお支払い方法にも対応しております。
人気のセラミック治療・ラミネート治療・口ゴボ治療・ガミー治療・ホワイトニング・矯正治療・差し歯の再治療・インプラント治療も10%OFFに!
ルミネカードは即日発行できるので、お持ちでない方もご安心ください。
例)シンプルオールセラミック1本(税込・仮歯別)
・通常料金:¥110,000
・キャンペーン時:¥99,000

叢生(乱杭歯)ってどんな歯並び?
CROWDED TEETH

【叢生と呼ばれる歯並びの状態】
「がちゃ歯」「乱杭歯」とも呼ばれる叢生は、笑ったときや話したときに歯並びがガタガタした印象を与えてしまうことが特徴です。
叢生による歯並びをコンプレックスに感じる方は少なくありません。また、叢生をそのままにしておくと歯のブラッシングが行き届かないことにより、虫歯や歯周病のリスクを高める恐れもあります。
「歯並びのコンプレックスを解消したい」「手で口もとを隠さずに大きなお口で笑いたい」そんな方に、叢生を短期間で治す歯並び治療が選ばれています。
叢生(乱杭歯)の主な原因
叢生は、先天的な要因と後天的な要因によって起こります。
- もともと顎が歯に対して小さい
- 歯が大きい
- 歯の生え変わり時期に大人の歯が生えるスペースが確保できなかった
- 指しゃぶりなどの習慣があった
これらの原因がいくつか重なることによって、叢生の歯並びとなってしまいます。
お悩み別症例をInstagramでチェック
25年以上に渡り審美治療専門だからこその圧倒的な症例数。お悩みに合わせた症例は、Instagram内ハイライトや各投稿からも詳しくご覧いただけます。

叢生(乱杭歯)の治療にはセラミック矯正がおススメ
CROWDED TEETH
叢生を改善するためには、歯並び矯正治療を受ける必要があります。
特に忙しい方や短期間に歯並びを改善されたいといったご希望の方に、当院ではセラミック矯正による叢生治療をおススメしています。
短期間に叢生をキレイに改善
セラミック矯正は、一般的なワイヤー矯正に比べて非常に短期間に歯並びを改善できるという特徴があります。
叢生の改善までに約1年半以上の治療期間がかかるワイヤー矯正に比べて、セラミック矯正では2カ月ほどで歯並びをキレイに治すことができます。
また、数回の治療で仮歯を装着し、仮歯の時点で歯並びがキレイに整います。ワイヤー矯正と比較して、目立たず・短期間に歯並びを改善することができます。
※治療期間や回数はお口の中のご状態やご希望によって異なります
まとめた本数を白くするからセラミックの色の選択肢が豊富

叢生治療の場合、歯並びのがたつきを治すために6本~16本ほどの歯にセラミック矯正を行うことが一般的です。
まとめた本数の歯にセラミッククラウンを被せるので、セラミックの特徴である「白さ」を活かしてお口全体のお色をトーンアップすることができます。
患者さまのご希望に合わせてセラミックのお色をお選びいただけます。
細部までナチュラルな美しい仕上がりに

ホワイトホワイトでは、天然歯と変わらないナチュラルな仕上がりのセラミックを作製する技術にも力を注いでいます。
天然歯のようにお色味に細かなグラデーションをかけ、切端に透明感を与えることでナチュラルな仕上がりとなります。
また、歯ぐきの内側0.5mmからセラミックを立ち上がらせることで、より天然歯に近い美しさとなります。
「前歯の美しさにこだわりたい」「ナチュラルな美しい仕上がりにしたい」といった方にご支持をいただいております。

安心の保証制度
ENSURE
ホワイトホワイトビューティーでは、半年に一度の定期健診にお越しいただくことを条件に、3年~5年間の保証期間を設けさせていただいております。
万が一、セラミックが破損したといったことがあった場合には迅速に対応いたします。安心・安全なセラミック矯正をお約束いたします。
※保証期間はセラミッククラウンの種類によって異なります

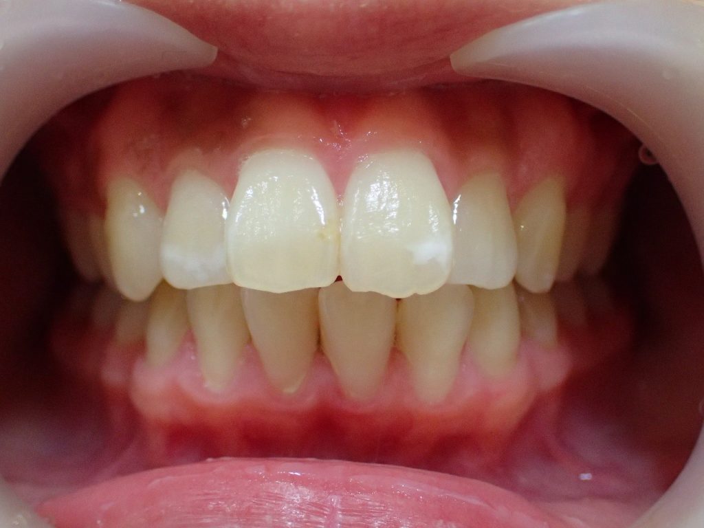
症例写真でみる叢生(乱杭歯)治療
CROWDED TEETH
セラミック矯正前



セラミック矯正後



治療期間:1カ月
通院回数:4回
治療内容:セラミック治療11本(セミデザイン6本+シンプルセラミック5本)
歯並びから大きくはずれた上の3番の歯と上顎全体の歯並びの改善をご希望された患者さまの症例です。
上の前歯6本にセミデザインのセラミッククラウンによりセラミック矯正を行い、上の歯並び全体を改善することになりました。また、下の前歯5本もシンプルデザインのセラミッククラウンによってセラミック矯正を行い歯並びを整えました。
特に、笑った時に歯並び全体がキレイなスマイルラインになったことで、清潔感のある美しい仕上がりとなりました。
副作用(リスク):一時的に歯がしみたり、かみ合わせの違和感を感じることがあります。
自由診療。治療期間、費用、施術の流れ、仕上がりに関しては個人差があります。
シンプルデザインセラミック1本¥110,000(税込み)
セミデザインセラミック1本¥135,000(税込み)
支台歯調整料(コアなど)1本¥15,000(税込み)
セラミック矯正前



セラミック矯正後



治療期間:1カ月半
通院回数:5回
治療内容:セラミック治療4本+ホワイトニング
上顎の歯の段差を気にされて来院された患者さまです。左右の前から2番目の歯が内側に入ってしまっているため、隣の歯との間が大きな段差となってしまっていました。
左右前から2番目の歯の傾きを大きく変えるためにまず神経の処置を行いました。
その間にセラミックを被せる上前歯4本の隣の歯と下の歯のホワイトニングを行いました。ホワイトニングのお色に合わせて前歯セラミックをお作りする事により、全体が統一されたナチュラルで美しいお色味に仕上げることができました。
また、仮歯の段階で前歯の形をしっかりと打ち合わせ、実際のお顔に合わせて調整をすることによってお顔に最もお似合いの歯の形と大きさで仕上げることができ、大変ご満足いただけました。
副作用(リスク):一時的に歯がしみたり、かみ合わせの違和感を感じることがあります。
自由診療。治療期間、費用、施術の流れ、仕上がりに関しては個人差があります。
セミデザインセラミック1本¥135,000(税込み)
支台歯調整料(コアなど)1本¥15,000(税込み)
クイックホワイトニング12本¥22,000(税込み)
セラミック矯正前



セラミック矯正後



治療期間:2カ月
通院回数:7回
治療内容:セラミック治療8本+ホワイトニング
お口全体の歯の黄ばみと、上下の前歯のがたつきを気にされてご来院いただいた患者さまの症例です。
歯が着色しやすいお口のタイプの患者さまで、前歯8本にセラミック矯正を行い、まわりの歯にホワイトニングを行うことでお口全体を白く仕上げることになりました。
特にセラミック矯正を行う歯に透明感を出したいとのご希望をいただいたので、透明感を十分に引き出すために歯の切端の透明感やセラミックの白さをきめ細かく調整しました。
全体的に歯がしっかりと白くなり、上下額ともに歯のがたつきが解消されました。
副作用(リスク):一時的に歯がしみたり、かみ合わせの違和感を感じることがあります。
自由診療。治療期間、費用、施術の流れ、仕上がりに関しては個人差があります。
セミデザインセラミック1本¥135,000(税込み)
支台歯調整料(コアなど)1本¥15,000(税込み)
クイックホワイトニング12本¥22,000(税込み)

無料オンラインカウンセリングスタートのお知らせ
FREE SOUDAN

Skype・zoomを利用した無料オンラインカウンセリングをスタートしました!
遠方でなかなかカウンセリングにお越しいただくことが難しい方・まずはご自宅からご相談されたい方におススメです。
また、操作にご不安のある方はLINEより操作説明をさせていただきますので、ご安心ください。
そのほかテレワークツールもご希望に応じて対応いたします。
お気軽にご相談ください。

柔軟なお支払い方法に対応
RYOKIN
各種クレジットカードによる分割払いはもちろんのこと、患者さまのご希望に合わせた柔軟なお支払い方法に対応しております。
院内無利息分割払い
無利息での現金やクレジットカードによる院内での分割払いが可能です。お支払いペースもご相談ください。
LUMINEカードでのお支払い
各店舗がLUMINEにもございますので、LUMINEカードをお持ちの方はLUMINEカードでのお支払いが可能です。
デンタルローンに対応
webサイトから簡単にお申込みのできるオリコのデンタルローンに対応しております。
各種QRコード決済が使えます

すべての審美歯科治療でpaypay・楽天ペイ・d払いなど、各種QRコード決済が行えます。